It’s never easy to make sense of changes in memory or behavior, but getting answers from experts sooner rather than later makes everything feel a bit less overwhelming.
With state-of-the-art Alzheimer’s testing, you find a sense of direction that actually helps you move forward.
Alzheimer’s diagnostic testing and early detection in Hagerstown, Maryland give you a simple way to understand what’s going on while there is still time to stay ahead of the disease, make solid choices, and plan wisely.
Clues That Suggest Alzheimer’s
Here are symptoms to watch for:
- Trouble remembering names
- Time and date mix-ups
- Wandering episodes
- Lapse in judgment
- Social withdrawal
Some people also deal with a sudden loss of interest in hobbies or unexpected agitation during moments that should feel calm. Others may drift into unusual sleep cycles or display abrupt changes in speech rhythm.
Advantages of Alzheimer’s Diagnostic Testing and Early Detection in Hagerstown, Maryland
The benefits can be quite significant.
Some therapies show stronger effects when introduced at the first signs of mental decline, while accurate medical information helps people learn which conditions can stay stable rather than worsen.
It also gives individuals and their families the room they need to connect with the proper educational tools and support programs that make daily life easier to manage.
How the Condition is Confirmed
A diagnosis is obtained through a combination of critical steps.
Clinicians rely on health history, thinking skills, lab work to start to form a picture of what’s going on.
Providers also turn to Alzheimer’s diagnostic testing and early detection in Hagerstown, Maryland through the following means:
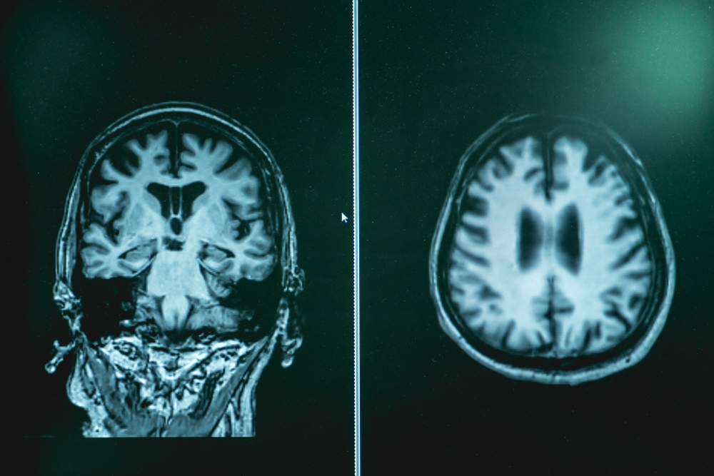
- Computed tomography (CT) scan gives stacked x-ray images that show the brain.
- Magnetic resonance imaging (MRI) maps out tissue using a contrast agent that allows sharp imaging detail.
- Positron emission tomography (PET) scan tracks a radioactive tracer to reveal active levels inside organs and tissues.
All of these views help the care team sort patterns that match this disorder while ruling out other possible reasons for cognitive decline.
Get Answers You Can Trust Through Alzheimer’s Testing at Advanced Diagnostic Radiology
If changes in memory or thinking have you concerned, call us at 301-777-3522 to book your imaging appointment.
Meet with a provider who explains testing clearly and helps you plan next steps with expert guidance.
