Showing 1-6 of 87 results
27
Mar
Best Stem Cell Doctor for Chronic Joint Pain Near Winchester, Virginia: What to Ask at Your Appointment
Before starting any regenerative treatment, knowing the right questions to ask can make all the difference.
27
Mar
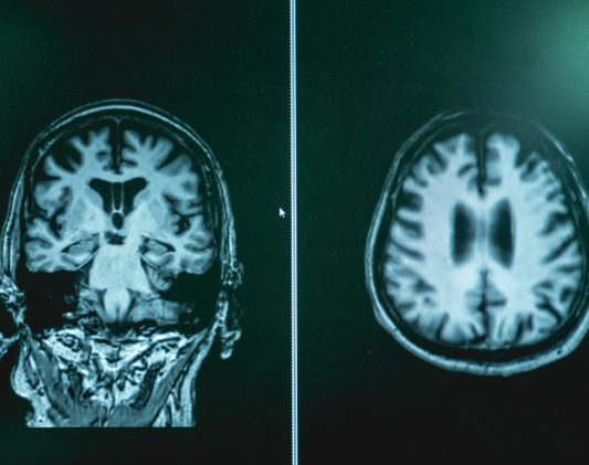
MRI Appointment Near Bedford, Pennsylvania: Open MRI vs. Standard MRI – What Patients Should Know
MRI (magnetic resonance imaging) is one of the most effective tools for diagnosing issues involving joints, muscles, discs, ligaments, and…
27
Mar
PET CT Scan Appointment Near Keyser, West Virginia: What It Detects and How to Prepare
This advanced scan combines two powerful technologies – PET and CT – to provide a detailed look at both the…
27
Mar
Stem Cell Doctor Near La Vale, Maryland for Chronic Joint and Spine Pain: Costs, Risks, and Results
Many patients exploring alternatives to surgery are now searching for a stem cell doctor near La Vale, Maryland for chronic…
27
Mar
Ultrasound Appointment Near Grantsville, Maryland: Diagnostic Ultrasound Uses and What to Expect
An ultrasound appointment can provide quick answers about many conditions affecting organs, tissues, and blood flow.
25
Mar
Stem Cell Therapy for Chronic Back Pain in Morgantown, West Virginia: Consultation and Safety Questions
Before moving forward though it’s essential to have a thoughtful consultation where you get to ask safety questions.
Subscribe to Newsletter.
Sign up for Medicare newsletter to receive all the new offers and discounts from Medicare clinic. Discounts are only valid four our newsletter subscribers.
